(860) 745-0662
1 Riverview St., Enfield, CT 06082
Our Office
1 Riverview St.
Enfield
,
CT
06082
(860) 745-0662
Visit Us Online
About Us
Our Office
Our Team
New Patients
FAQs
Smile Gallery
Testimonials
Dental Videos
Local Communities
Our Doctor
Services
Emergency Treatment
Extractions
Night Guards
Oral Exams
Pediatric Dentistry
Periodontal Treatment
Preventative Program
Root Canals
Sedation Dentistry
Sleep Apnea
Snoring Appliances
Sports Mouthguards
All-on-6®
Dental Fillings
Dentures
Implant Dentistry
Ceramic Crowns
Cosmetic Dentistry
SureSmile® Aligners
Teeth Whitening
Veneers
Air Abrasion
CBCT
Digital Impressions
Digital Radiography
Laser Dentistry
Dental Health
Contact
Request Appointment
Address:
1 Riverview St., Enfield, CT 06082
Phone:
(860) 745-0662
Social:
Request Appointment
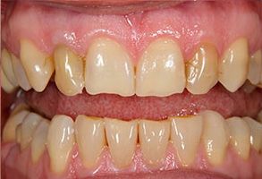
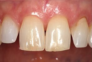
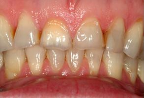
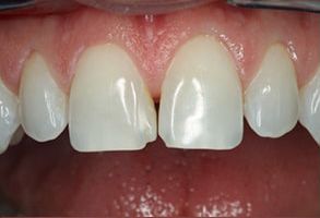
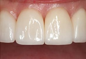
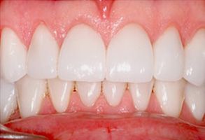
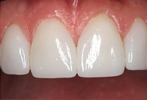
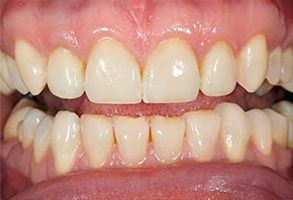
Smile Gallery
Before
After
Before
After
Before
After
Before
After
Before
After
Before
After
Before
After
Our Office
1 Riverview St.
Enfield
,
CT
06082
(860) 745-0662
Visit Us Online
Our Office
1 Riverview St.
Enfield
,
CT
06082
(860) 745-0662
Visit Us Online
Explore More
New Patients
Our Office
Our Services
Testimonials
Our Doctor
Request Appointment
Dental Videos
Blog
Get in Touch
Phone:
(860) 745-0662
Email:
frontdesk@drpappas.com
Address:
1 Riverview St., Enfield, CT 06082
Hours of Operation
Monday
8:00 am - 5:30 pm
Tuesday
8:00 am - 5:30 pm
Wednesday
Closed
Thursday
8:00 am - 5:30 pm
Friday
8:00 am - 5:00 pm
Saturday
Closed
Our Office
1 Riverview St.
Enfield
,
CT
06082
(860) 745-0662
Visit Us Online
© 2026 Pappas Family Dentistry. All Rights Reserved. |
Accessibility Policy
|
Privacy Policy
|
Dentist Website Design
Enfield Dentist | Dentist in Enfield | Dental Services Enfield